- Research
- Open access
- Published:
Genomic DNA extraction methods and phylogenetic analysis of Beauveria bassiana from Central Java, Indonesia, and its toxicity against the fall armyworm, Spodoptera frugiperda J.E. Smith (Lepidoptera: Noctuidae)
Egyptian Journal of Biological Pest Control volume 34, Article number: 59 (2024)
Abstract
Background
Control techniques using biological control agents such as Beauveria bassiana (Balsamo) Vuillemin have the advantage of not showing any negative impacts on environmental health and safety issues. This study used isolates from B. bassiana collection from Laboratory of Pest Monitoring belonging to Indonesian Ministry of Agriculture (LPHP) in Central Java which showed potential in controlling target pest. The problems that still occur are the lack of facilities and infrastructure and the lack of quality testing of collection isolates in LPHP, so that the isolate identification process is still carried out in simple method, and bioassay testing on the fall armyworm (FAW), Spodoptera frugiperda J.E. Smith (Lepidoptera: Noctuidae) as a target pest, is not commonly conducted. The results of bioassay testing can be used to determine the potential of a biological agent to control target pest.
Result
The two DNA extraction methods showed different results regarding DNA concentration and purity values, but both methods were good and could be used to amplify DNA using PCR. The DNA band was amplified at 500–600 bp using primers ITS 1 and ITS 4. The results of molecular analysis showed that the four isolates of B. bassiana from Central Java were found in the same clade as B. bassiana from South Sumatra, Dhaka, and Oromia, where these isolates showed similar similarities descended from a common ancestor. Genetically, B. bassiana isolates from Central Java show more genetic similarities to B. bassiana isolates from South Sumatra, Indonesia. Quality testing was carried out by calculating the density and germination ability values for LPHP isolates from Sukoharjo (Sukoharjo isolate), Temanggung (Purworejo isolate), and Banyumas (Banyumas and Cilacap isolate), which showed varying results. The bioassay test used three isolates, namely B. bassiana from Sukoharjo, Banyumas, and Cilacap, which were selected based on density values, germination ability, and molecular analysis. The ability to cause death of the three isolates against S. frugiperda showed different results where the isolate from Sukoharjo, Banyumas, and Cilacap caused mortality of 60, 40, and 60%, and the LC50 value of each isolate was 3.3 × 106, 1.3 × 107, and 3.5 × 107 conidia ml−1, respectively.
Conclusion
Morphological identification by macroscopic, microscopic, and molecular analysis showed that the isolate from the LPHP collection in Central Java, Indonesia, was B. bassiana. Genetically, the four isolates showed similar characteristics to isolates from South Sumatra, Indonesia. B. bassiana isolates from collections from Central Java showed potentials as a biological control agent against S. frugiperda.
Background
The technique of controlling plant pest organisms using chemical pesticides is still practiced by most farmers in Indonesia (Khambali et al. 2023). The negative impacts of applying chemical pesticides in large quantities include the presence of chemical residues in the environment (Utami et al. 2020) and the yields of cultivated plants (Ardiwinata et al. 2019) and health problems for farmers (Pawestri and Sulistyaningsih 2021). Lack of knowledge about the dangers of using pesticides and farmers’ habits is the main factor that the use of chemical pesticides is still a problem in the agricultural system in Indonesia (Rivai et al. 2019).
An alternative approach that is currently being developed as an effort to control pests is the use of biological control agents, such as the use of entomopathogenic fungi (EPF) (Rijal 2019). This control technique has the potential to suppress pest populations in natural ecosystems (Gebremariam et al. 2021). Control with biological agents is considered relatively cheap, easy to carry out, and environmentally friendly (Abbas et al. 2022). Beauveria bassiana is an important EPF widely used to control insect pests (Liu et al. 2022).
The development and propagation of EPF in Indonesia is one of the responsibilities of the Laboratory of Pest Monitoring (LPHP) under the Food, Horticultural and Estate Crop Protection Agency (BPTPHP) belonging to Indonesian Ministry of Agriculture. The problems frequently encountered are the lack of facilities and infrastructures for the identification process and the lack of quality control for collection isolates used as biological control agents for control on a field scale. In general, LPHP carries out simple characteristic identification by observing the color of the colony and the shape of the conidia of isolates from the genus Beauveria. Morphologically, the Beauveria genus shows many similarities; thus, simple identification still encounters many difficulties (Norjmaa et al. 2019).
Molecular-based identification in insect pathology, particularly in Indonesia, is still critically needed to support the identification process in a more detailed, fast and precise manner (Bich et al. 2021). DNA extraction is a crucial initial step that determines the value of DNA quality and quantity and is a key factor in the success of the polymerase chain reaction (PCR) stage of DNA amplification (Morindya et al. 2023). DNA extraction methods using commercial kits and CTAB are the most frequently used extraction methods (Morindya et al. 2023), especially for extracting fungal microorganisms (Minarni et al. 2021).
Quality control testing carried out by LPHP on collection isolates includes calculating the density and ability of conidia to germinate; however, testing on the ability of collection isolates to cause death to target pests (bioassay) has not been widely carried out. This problem means that the potential of collection isolates as control agents is still unknown. The ability of a biological agent to infect insects is important, considering that LPHP collection isolates are used sustainably and expected to be effective on a field scale (Zhang et al. 2020). Thus, this research aimed to carry out molecular identification and analyze the relationships of isolates from collections from LPHP Sukoharjo, LPHP Banyumas, and LPHP Temanggung as well as testing the quality of isolates in causing mortality of the FAW, S. frugiperda.
Methods
Molecular analysis testing was carried out from August to December 2022 at the Plant Control Technology Laboratory—Plant Clinic Section and the Plant Pest Laboratory—Molecular Entomology Section. Bioassay testing was performed from January to June 2023 at the Plant Control Technology Laboratory—Biological Control Section, Faculty of Agriculture, Universitas Gadjah Mada, Yogyakarta, Indonesia.
Isolate origin and morphological identification of Beauveria sp.
Beauveria bassiana isolates originated from four different locations, namely Sukoharjo, Purworejo, Banyumas, and Cilacap (Fig. 1), which were obtained from LPHP Sukoharjo, LPHP Banyumas, and LPHP Temanggung. Multiplication was carried out on artificial potato dextrose agar (PDA) media (Merck Millipore) sterilized by autoclaving. Fungal isolates were grown for 15 days at an average temperature of 25 °C in 9 cm diameter Petri dishes.
Macroscopic and microscopic morphological observations were carried out when the mycelium filled the Petri dish ± 14 days after inoculation (DAI). Macroscopic observations were carried out by observing morphological characteristic such as growth patterns, colony color, growth shape, surface texture and colony elevation (Norjmaa et al. 2019). Meanwhile, microscopic observations were carried out using a microscope at 400 times magnification and staining using lactophenol cotton blue by observing the characteristics of hyphae and conidia. Conidia size was measured using Optilab Viewer 4.0, Miconos, which had previously been calibrated.
DNA extraction using the extraction kit method
Fungi were grown in potato dextrose broth (PDB) media (Himedia GM403-500G) for seven days at an average temperature of 25 °C (Pramunadipta et al. 2020). The extraction method used the Genomic DNA Mini Kit Plant (Geneaid) according to the protocol listed. The growing fungal mycelium was filtered using sterile filter paper, then crushed in a mortar and transferred into a 1.5-ml micro-tube. The initial step was adding 400 μl GP1 Buffer and 5 μl RNase to each sample and shaking using a vortex (Vortex Mixer MX-S, DLAB), then incubating in a water bath (Digital Water Bath 1H3L, B-One) for 10 min at a temperature of 60 °C and inverting the micro-tube every 5 min, followed by adding 100 μl GP2 Buffer and shaking with a vortex, and incubating in the refrigerator for 3 min. At this stage, elution buffer was prepared to be heated in a water bath as much as 200 μl per sample. The next step was transferring the sample solution to 2 ml collection tube through the filter column attached to the collection tube. The sample was separated using a centrifuge (Sorvall Legend Micro 21, Thermo Fisher Scientific) for 1 min at a speed of 1000×g and discarding the filter column that had been used. The formed supernatant was then transferred into 1.5-ml micro-tube and added with 1.5 volume of the supernatant obtained with GP3 Buffer solution and then shaken for 5 s. The GD column was then placed on a 2-ml collection tube, and 700 μl of the mixed solution was moved through the GD column and settled at a speed of 14000×g for 2 min. The mixed solution that had been precipitated was discarded, and the residue from the mixed solution was re-precipitated using the same GD column and collection tube at a speed of 14000×g for 2 min. At the washing stage, 400 μl W1 buffer was added to the GD column and settled at a speed of 14000×g for 1 min, and the liquid that formed was removed. Then, 600 μl wash buffer was added through the GD column and settled at a speed of 14,000×g for 1 min, and the liquid that formed was removed. The collection tube and GD column were dried at a speed of 14,000×g for 3 min. The GD column was moved to a fresh 1.5-ml micro-tube for the DNA elution step, and 100 μl of hot elution buffer was added to the center of the column and left for three to five min. After that, it was deposited at a speed of 14000×g for 1 min to elute the pure DNA.
DNA extraction using 2% CTAB method
The extraction method was referred to Minarni et al. (2021) with modifications. The mycelium was placed in a sterile mortar with 500 μl of 2% cetyl trimethylammonium bromide (CTAB) buffer added and crushed using a sterile pistil. The results were then transferred to a 1.5-ml micro-tube, and 5 μl β-mercaptoethanol and 10 μl proteinase-K were added. The suspension was incubated in a water bath at 65 °C for 60 min and gently turned every 10 min. The suspension was separated using a centrifuge at 5000 rpm for 5 min. The supernatant (top layer) formed was taken and transferred into a new 1.5-ml micro-tube, then added with 500 μl of CIAA (chloroform–isoamyl alcohol 48:2, V/V), and the suspension was separated at a speed of 13,000 rpm for 10 min. Two layers were formed at this stage, and the supernatant (top layer) formed was transferred into a new 1.5-ml micro-tube. Cold isopropanol (1 × volume) was then added and shaken gently, and the suspension was left for 1 h. After 1 h, the suspension was settled at 12,000 rpm for 10 min, and the supernatant formed was removed while retaining the DNA pellet formed at the bottom of the micro-tube. 200 μl of cold 70% ethanol was added, then precipitated again at 8000 rpm for 5 min, and then the ethanol was removed. The DNA pellet was air-dried for 2 h. After 2 h, the DNA was dissolved in 75 μl TE buffer and stored at a temperature of − 20 °C.
DNA quality and quantity
The quality and quantity of extracted DNA were analyzed using the BioDrop Duo Spectrophotometer. The quantity of DNA was calculated in units of ng μl−1, and the purity of DNA was calculated at a wavelength of A260 nm/ A280 nm.
DNA amplification and sequencing analysis
DNA amplification was carried out using the polymerase chain reaction (PCR) technique (T100 Thermal Cycler-BioRad) for sequencing purposes, and phylogenetic analysis was performed using universal primers ITS 1 (5′-TCC GTA GGT GAA CCT TGC GG-3′) and ITS 4 (5′-TCC TCC GCT TAT TGA TAT GC-3′) (White et al. 1990). The PCR product consists of 12.5 μl Taq DNA Polymerase Master Mix RED, 8.5 μl DdH2O, 1 μl ITS primer 1, 1 μl ITS primer 4, 2 μl DNA template placed in a 0.2-ml Eppendorf tube, amplified at a pre-denaturation temperature of 95 °C for 5 min, denaturation 95 °C for 1 min, annealing 52 °C for 1 min, extension 72 °C for 1 min, and final extension 72 °C for 5 min. The cycle was repeated 30 times (Herlinda et al. 2020).
The success of the PCR product was tested using electrophoresis (Mini Electrophoresis System/Mini ES-1) using 1.5% (w/v) agarose gel in TBE (Tris boric-acid EDTA) 1 time. 2 μl of the PCR product and 100bp ladder marker were inserted into each well. Electrophoresis was carried out at a voltage of 50 V for 50 min. The results were soaked in ethidium bromide (EtBr) for 10 min and rinsed using distilled water. The results of electrophoresis were visualized using a UV Trans-illuminator (E3000-E).
Sequencing analysis was carried out by sending the PCR product results to the Integrated Research and Testing Laboratory (LPPT), Universitas Gadjah Mada, Yogyakarta, Indonesia. The DNA sequence results were analyzed using MEGA 11 software, and data matching was done using the Basic Local Alignment Search Tool (BLAST) on the National Center for Biotechnology Information (NCBI) website (https://www.ncbi.nlm.nih.gov) to determine the similarity of pairs based with references obtained from GenBank.
Phylogenetic analysis
Phylogenetic analysis was carried out by comparing the consensus DNA results of the four isolates from the collection from Central Java with consensus data on Beauveria bassiana and outgroups via accession numbers from NCBI. Alignment was carried out using ClustalW on MEGA 11 software, using the Maximum Likelihood Tree (InL) method with the Kimura 2-Parameter model. Parameters selected were based on the Bayesian information criterion (BIC) score. A phylogenetic tree was created with bootstrap replication of 1000 times. The selection of the phylogenetic tree model was processed by selecting the “Models” menu in the MEGA 11 software. Pairwise distance was analyzed using MEGA 11 in the “Distance” menu with a bootstrap replication of 1000 times. The pairwise distance value was converted into percent form with the following formula:
Calculation of density and viability of Beauveria bassiana conidia
Conidial density was calculated using a hemocytometer, Optilab Viewer 4, and a microscope at 400 times magnification. The calculation was based on the following formula (hemocytometer instruction sheet):
Remarks: X is the number of conidia counted in 5 squares.
Germination (viability) was calculated by making a suspension by adding 10 ml of sterile distilled water and shaking with a vortex to make it homogeneous. The suspension was diluted by adding 9 ml of sterile distilled water to 1 ml of the suspension. A piece of water agar media was placed on a glass slide, dropped with the diluted isolate suspension, and incubated for 1 × 24 h in a Petri dish. Germination was calculated by observing under a microscope at 400× magnification. The number of germinated conidia was calculated using the following formula (Afandhi et al. 2022):
Spodoptera frugiperda mass rearing
The larvae of S. frugiperda used were collected from corn fields around Kalasan, Sleman, Special Region of Yogyakarta. Larvae were transferred and maintained in plastic containers (∅: 5.5 cm, h: 2.5 cm). They were given natural food everyday using baby corn and kept until they turned into pupae, then transferred to cages measuring p: 40 cm, l: 40 cm, h: 100 cm. The pupa, which turned into an imago, was fed using a honey solution (10%), and a corn plant was placed inside as a place for the imago to lay eggs. The resulting egg groups were collected and maintained until they became second instar larvae. The age of the larvae was used as an object in bioassay testing.
Bioassay of Spodoptera frugiperda
Mortality testing for S. frugiperda was carried out using three isolates from Sukoharjo, Banyumas, and Cilacap. The test was carried out using a suspension spray method at several levels of density. The density of isolates from Sukoharjo and Banyumas consisted of 1 × 105, 1 × 106, 1 × 107 conidia ml−1, and control. Meanwhile, isolates from Cilacap used densities of 1 × 105, 1 × 106, 1 × 107, 1 × 108 conidia ml−1, and control. The difference in density in the test was used to obtain the median lethal concentration LC50 value. The suspension solution was made up to 10 ml, and 0.01% Tween 80 was added to each suspension. The control treatment was made by using 10 ml of sterile distilled water added with 0.01% Tween 80. The test used 40 individuals of second instar larvae with a spray treatment of 2 ml of suspension per 10 larvae. Larvae that died in the test were used to calculate mortality using the following formula (Minarni et al. 2022):
Data analysis
The data on conidial diameter, density, and ability to germinate were analyzed using one-way analysis of variance (ANOVA). The quality and quantity of DNA extraction using the commercial kit method and CTAB were analyzed using a completely randomized design (CRD). Significant differences were tested using the Tukey test or honestly significant difference (HSD) test (p = 0.05) using SPSS 25 software. The LC50 value on S. frugiperda was carried out using probit analysis using JMP Pros 13 software.
Results
Morphological identification and DNA quality—quantity of Beauveria sp.
Initial identification carried out by LPHP stated that based on morphological characteristics, each isolate showed characteristics similar to the Beauveria genus because it had white mycelium with round conidia and was found in parasitized insects (personal communication) (Table 1). Further identification was carried out by observing morphological characteristics, showing that the four isolates had similar macroscopic morphological characteristics where the mycelium that grows was white. However, the growth character of the isolate from Cilacap showed a dotted growth form, while the other three isolates showed a rounded growth form (Fig. 2). The results of microscopic observations of the characteristics of the hyphae and conidia of the four collection isolates showed the same characteristics as the Beauveria genus with round conidia and insulated hyphae (Fig. 3).
Microscopic morphology of hyphae and conidia of Beauveria bassiana isolates; hyphae isolate from Sukoharjo (A), hyphae isolate from Purworejo (B), hyphae isolate from Banyumas (C), hyphae isolate from Cilacap, conidia isolate from Sukoharjo (E), conidia isolate from Purworejo (F), conidia isolate from Banyumas (G), and conidia isolate from Cilacap (H)
Molecular identification was started with DNA extraction. The results of DNA extraction using the commercial kit and CTAB methods showed different values for the quality and quantity of DNA calculated from the concentration value (ng μl−1) and DNA purity by looking at the absorbance value A260/A280 (Table 2). DNA of Beauveria sp. extracted using a commercial kit showed an average concentration ranging from 6 to 9 ng μl−1, while the DNA extracted using the CTAB method showed a DNA concentration value ranging from 250.33 to 857.00 ng μl−1. The DNA absorbance results at the A260/A280 wavelength using both CTAB extraction methods showed similar values, ranging 1.82–2.07. However, the DNA absorbance value of Banyumas isolate samples using the commercial kit method was 1.66, which was lower when compared to the absorbance value on the same isolate using the CTAB extraction method, which was 1.82.
DNA amplification and sequencing analysis
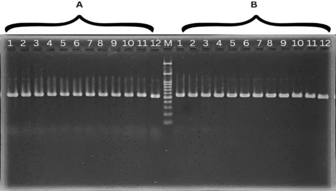
DNA extraction results of the four isolates of Beauveria sp. were amplified using universal primers Internal Transcribed Spacer (ITS), ITS 1, and ITS 4. The results showed that the DNA band extracted using two methods was successfully amplified in the base range of 500–600 bp (Fig. 4). DNA consensus used in phylogenetic analysis was obtained from the results of sequencing PCR products using the CTAB method. This selection was based on DNA concentration and purity, which are shown in Table 2.
Phylogenetic analysis
Molecular identification of the four isolates from the collection showed that the EPF originating from Sukoharjo (Skh), Purworejo (Pwj), Banyumas (Bms), and Cilacap (Cila) was identified as the B. bassiana species due to their high similarity values to several B. bassiana species based on the NCBI data base. The relationship of the four B. bassiana isolates with several other B. bassiana isolates was analyzed based on the literature (Table 3). The B. bassiana isolates in the research results showed a close relationship. The isolate from Sukoharjo (Skh) showed a closer relationship with the isolate from Purworejo (Pwj), with a similarity value of 99.82%. The isolate from Cilacap showed a similarity of 99.12% to the isolate from Sukoharjo and 99.30% to the isolate from Purworejo. The similarity of isolates from Banyumas to isolates from Sukoharjo, Purworejo, and Cilacap was 97.33, 97.33, and 98.05%, respectively. In general, the relationship among isolates from the B. bassiana collection from Central Java showed close relationship with isolates from South Sumatra, Indonesia, and still showed genetic similarities in characters with isolates from Bangladesh and Ethiopia (Fig. 5). Phylogenetic analysis based on BIC scores showed that the Kimura two-parameter model with invariants (I) was the most suitable method for understanding evolution through phylogenetic trees (Table 4). The BIC scores that appeared were 3170.729041 (K2 + I), 3170.733481 (K2), and 3171.39673 (K2 + G).
Conidial density and viability assay
The quality of collection isolates could be seen from the conidial density and ability to germinate. The highest conidial density was shown by the B. bassiana isolates from Cilacap, with a density of 1.3 × 108 conidia ml−1. Meanwhile, isolates from Sukoharjo and Purworejo showed an average conidial density of 7.7 × 107 and 8.3 × 107 conidia ml−1. Banyumas isolate showed the lowest density of 5.8 × 107 conidia ml−1. Conidial viability was calculated from their ability to germinate, in which the lowest value was found in the Cilacap isolate at 77%. Meanwhile, the other three isolates showed an ability to germinate above 90% after 1 × 24 h observation. Sukoharjo, Purworejo, and Banyumas isolates showed an average viability of 91.67, 95.33, and 94.00%.
Bioassay against Spodoptera frugiperda
Mortality testing of the three B. bassiana isolates (Sukoharjo, Banyumas, and Cilacap) showed different virulences. The highest density of the B. bassiana isolate from Cilacap was able to cause 60% death of the test insects. The ability of B. bassiana isolate from Sukoharjo with a density of 107 conidia ml−1 to cause 60% mortality, while the isolate from Banyumas with a density of 107 conidia ml−1 caused 40% mortality. The LC50 value from the probit analysis calculations obtained data as presented in Table 5.
Discussion
Characterization of fungi using macroscopic and microscopic morphological observations is the basis for conventional identification. LPHP identified the fungus that succeeded in parasitizing Leptocorisa oratorius by identifying the isolate that was successfully isolated and purified as a species belonging to the genus Beauveria that showed the characteristic white mycelium with a fine to powder-like texture and round to oval shaped conidia (Barnett and Hunter 1986). The results of macroscopic and microscopic morphological observations of the four isolates from Central Java (Figs. 2 and 3) are in accordance with the characterization of the B. bassiana species based on the identification of Kulu et al. (2015) and Norjmaa et al. (2019). Conidial diameter measurements for the four isolates from the collection had never been carried out at the identification stage. The conidial diameter of the four collection isolates ranged from 2.2 to 2.5 μm. The size of B. bassiana varies ranging between 2 and 3 µm (Kulu et al. 2015) or had an average length of 4.5–5.1 µm and an average width of 2.1–2.6 µm (Bich et al. 2021). These results can strengthen the morphological identification results, where the four isolates used were identified as B. bassiana species.
Morphological similarity needs to be strengthened by carrying out molecular identification. DNA extraction is an important point in the molecular identification process. The principle of the DNA extraction stage is to destroy the cell parts of living bodies from other cell organelles, such as cell walls and cell membranes (lysis), to separate DNA from carbohydrates, fats, proteins, and other nucleic acids (extraction), and to purify DNA from living bodies (purification) (Dairawan and Shetty 2020). Commercial kits and CTAB are the DNA extraction method widely used, which can be adapted in Indonesia as a rapid detection method. The CTAB method showed higher and more stable DNA concentration and purity values compared to commercial kits. In general, the expected absorbance value when carrying out DNA extraction was around 1.7–2.0 (Chacon-cortes and Griffiths 2014). CTAB lysis buffer containing β-mercaptoethanol and the addition of Proteinase-K at the DNA extraction stage acted as polyphenol, protein, and cell wall degraders, making it possible to obtain good DNA purity results (Morindya et al. 2023).
The differences in DNA concentration and purity values in the two extraction methods did not affect DNA amplification and visualization. ITS 1 and ITS 4 as universal primers are widely used in the molecular detection process of the fungus B. bassiana (Islam et al. 2023). ITS is a universal primer used as a standard barcode for detection in fungi (Schoch et al. 2012). The results of DNA amplification and visualization of the four B. bassiana isolates using universal primers (ITS) have a reference to the similarity of results with research conducted by Muro et al. (2005), which used B. bassiana collection isolates from West Asia showing amplified DNA bands in the base range of 560 bp. Quesada-Moraga et al. (2006) detected B. bassiana isolates originating from Spain and produced DNA band fragments ranging from 570 to 750 bp, while Cruz et al. (2006) used B. bassiana collection isolates from Colombia, Thailand, the Philippines, and Canada producing to DNA band fragments ranging from 570 bp.
The results of DNA sequencing from successfully amplified PCR products were used in preparing phylogenetic analysis. The preparation of a phylogenetic tree by considering the BIC and AICc scores showed better suitability in studying evolution between species. The MEGA 11 software is equipped with model analysis by showing the BIC and AICc values starting from the lowest value (Tamura et al. 2011). MEGA software develops various computational models, with or without assuming variations in evolutionary rates described by the discrete Gamma distribution (G) and with or without calculating invariant variables (I) (Tamura et al. 2011). The analysis model was adjusted to the options available in the MEGA software so that the Kimura two-parameter model with invariant variables (K2 + I) was used as the evolutionary analysis model for the 13 nucleotides (including outgroups) tested. In general, consideration of model selection in constructing a phylogenetic tree based on the BIC score makes phylogenetic analysis calculations simpler, with low BIC score model indicating the best suitability in studying the evolution of a species (Liu et al. 2023a, b).
Beauveria bassiana isolates from Sukoharjo and Purworejo are assumed to have similar characters based on the genetic characteristics of DNA. The results of phylogenetic analysis showed that B. bassiana samples from Central Java isolates belonged to the same clade as isolates from South Sumatra (Indonesia), Bangladesh, and Ethiopia (Fig. 5). Genetically, the B. bassiana isolate from Central Java had characters or characteristics that are thought to be inherited from the same ancestor (synapomorphy) with B. bassiana isolate from South Sumatra (Indonesia), Dhaka (Bangladesh), and Oromia (Ethiopia) (Bintang et al. 2015). The results of the phylogenetic analysis of B. bassiana isolates from Central Java showed differences in branch lengths, especially in B. bassiana isolates from Banyumas and Sukoharjo. It is assumed that the length of the branches formed from these two isolates indicated genetic variation in the B. bassiana species from Banyumas and Sukoharjo. The length of a branch showed the extent of evolution that has occurred in a species (Edwards 2018).
Based on the research results, bioassay testing against S. frugiperda used isolates from Sukoharjo, Banyumas, and Cilacap. The selection was based on the density value, viability ability, and phylogenetic analysis between the four isolates in the study. The selected isolates had different characteristics, showing variations in density and viability (Afandhi et al. 2022). As it is known, S. frugiperda is a native pest with attack symptoms that were first detected in Indonesia in 2019 (Sartiami et al. 2020). Research using potential biological control agents to suppress S. frugiperda populations continues to be carried out as a measure to suppress pest populations that prioritizes environmental safety principles (Minarni et al. 2022). Bioassay testing was carried out to see the potential of isolates to cause disease in target pests (Juliya 2019). The results of bioassay testing against S. frugiperda showed variations in mortality values and differences in LC50 values for the three isolates used (Table 5).
Spodoptera frugiperda larvae were successfully infected using the highest density level of each isolate, indicating that B. bassiana fungus could penetrate through the insect cuticle (Liu et al. 2023a, b). Larvae that were successfully infected showed death on the first day after inoculation, and mycelium growth within the insect’s body appeared on the fourth day after the S. frugiperda larvae died. The appearance of mycelium (mummification) on the bodies of dead insects shows that B. bassiana has a mode of action to penetrate the insect cuticle. Some insects that succeeded in continuing their growth and development were found to have black spots appearing on the cuticle and incomplete cuticle formation. Histologically, the black zone that forms on the insect cuticle is a response that indicates the location of fungal penetration into the insect’s body (Ibrahim et al. 2019). Meanwhile, imperfect cuticle formation is an insect immune response that indicates inhibition of chitin synthesis due to penetration by B. bassiana (Ortiz-urquiza and Keyhani 2013).
Mortality caused by the three isolates varied. The highest density of B. bassiana isolates from Sukoharjo and Cilacap caused mortality of 60%, while the highest density of Banyumas isolates caused mortality of 40%. The mortality of S. frugiperda using the three isolates of B. bassiana was quite low. Several studies have shown that the virulence of B. bassiana varies on the mortality of target pests, such as bioassay testing between 6 isolates of B. bassiana from Canberra (Australia), which was able to cause mortality of S. frugiperda between 34 and 82% (Apirajkamol et al. 2023). B. bassiana isolates from Jilin Province (China) able to cause mortality of 88% at a density of 1 × 109 conidia ml−1 (Batool et al. 2020), and B. bassiana isolates originating from South Sumatra Province (Indonesia), which were isolated from soil, was able to cause mortality of S. frugiperda of 86.67% with LT50 8 days after inoculation (Herlinda et al. 2020).
Different virulence abilities can be caused by differences in host origin and habitat origin of B. bassiana isolates (Zhang et al. 2020). It can be assumed that B. bassiana isolates used in the research also have different strains compared to other B. bassiana isolates (Zhang et al. 2020), showing varying virulence abilities. B. bassiana isolate from Sukoharjo (Central Java, Indonesia) genetically showed a close relationship with the isolate from Ogan Komering Ilir (South Sumatra, Indonesia) but has a different ability to cause death in S. frugiperda. Many factors influence the virulence of an EPF, such as the ability of the conidia to germinate, the strength of the conidia to attach (adhesion), the influence of the enzymes or secondary metabolites produced, the assumption that there are differences in growth conditions, and the composition of the culture media as a medium for propagating isolates (Apirajkamol et al. 2023). In addition, it is known that target insects also have a form of defense against pathogens that carry out infection (Ortiz-urquiza and Keyhani 2013). However, it can be seen that B. bassiana isolates from Central Java have potential as a biological control agent against S. frugiperda. Bioassay testing can be used as a standard to determine the potential of a fungus to act as a biological control agent.
Conclusion
The four isolates from Sukoharjo, Purworejo, Banyumas, and Cilacap were identified as the fungal, B. bassiana. To our knowledge, this is the first report on the identification of B. bassiana from Central Java using the molecular method and testing the ability with several levels of spore density to determine the LC50 value of B. bassiana isolates from Central Java that showed similar characteristic to isolates from South Sumatra, Indonesia and showed potential as a biological control agent against S. frugiperda, However, further testing is still needed regarding appropriate and effective application techniques to increase mortality against S. frugiperda.
Availability of data and materials
The datasets used and/or analyzed during the current study are available from the corresponding author on reasonable request.
Abbreviations
- GAP:
-
Good agriculture practices
- PCR:
-
Polymerase chain reaction
- PDA:
-
Potato dextrose agar
- PDB:
-
Potato dextrose broth
- DAI:
-
Days after inoculation
- DNA:
-
Deoxyribonucleic acid
- CTAB:
-
Cetyl trimethylammonium bromide
- CIAA:
-
Chloroform-isoamyl alcohol
- TE:
-
Tris EDTA
- ITS:
-
Internal transcribed spacer
- TBE:
-
Tris boric acid EDTA
- EtBr:
-
Ethidium bromide
- BLAST:
-
Basic local alignment search tool
- NCBI:
-
National Center for Biotechnology Information
- ANOVA:
-
Analysis of variance
- InL:
-
Maximum likelihood tree
- BIC:
-
Bayesian information criterion
- AICc:
-
Akaike information criterion, corrected
References
Abbas A, Ullah F, Hafeez M, Han X, Zulqar Nain Dara M, Gul H, Zhao CR (2022) Biological control of fall armyworm, Spodoptera frugiperda. Agronomy 12(2704):1–16. https://doi.org/10.3390/agronomy12112704
Afandhi A, Fernando I, Widjayanti T, Maulidi AK, Radifan HI, Setiawan Y (2022) Impact of the fall armyworm, Spodoptera frugiperda (J. E. Smith) (Lepidoptera: Noctuidae), invasion on maize and the native Spodoptera litura (Fabricius) in East Java, Indonesia, and evaluation of the virulence of some indigenous entomopathogenic fungus i. Egypt J Biol Pest Control. https://doi.org/10.1186/s41938-022-00541-7
Apirajkamol NB, Michael T, Bishwo H, Phillip M, Taylor W, Walsh TK, Tay WT (2023) Virulence of Beauveria sp. and Metarhizium sp. fungi towards fall armyworm (Spodoptera frugiperda). Arch Microbiol 205(10):1–21. https://doi.org/10.1007/s00203-023-03669-8
Ardiwinata AN, Ginoga LN, Sulaeman E (2019) Pesticide residue monitoring on agriculture in Indonesia. J Sumberd Lahan 12(2):133–144
Barnett HL, Hunter BB (1986) Ilustrated genera of imperfecct fungi 4th edition Amer Phytopathological Society
Batool R, Umer MJ, Wang Y, He K, Zhang T, Bai S, Zhi Y, Chen J, Wang Z (2020) Synergistic effect of Beauveria bassiana and Trichoderma asperellum to induce maize (Zea mays L.) defense against the Asian Corn Borer, Ostrinia furnacalis (Lepidoptera, Crambidae) and larval immune response. Int J Mol Sci 2:8215. https://doi.org/10.3390/ijms21218215
Bich GA, Castrillo ML, Kramer FL, Villalba LL, Zapata PD (2021) Morphological and molecular identification of entomopathogenic fungi from agricultural and forestry crops. Floresta e Ambiente 28(2):1–11. https://doi.org/10.1590/2179-8087-FLORAM-2018-0086
Bintang AS, Wibowo A, Harjaka T (2015) Genetic diversity of Metarhizium anisopliae and virulence toward larvae of rhinoceros beetle (Oryctes rhinoceros). J Perlindungan Tanaman Indonesia 19(1):12–18
Chacon-cortes D, Griffiths LR (2014) Methods for extracting genomic DNA from whole blood samples: current perspectives. J Biorepository Sci Appl Med 2:1–9
Cruz LP, Gaitan AL, Gongora CE (2006) Exploiting the genetic diversity of Beauveria bassiana for improving the biological control of the coffee berry borer through the use of strain mixtures. Appl Microbiol Biotechnol 71:918–926. https://doi.org/10.1007/s00253-005-0218-0
Dairawan M, Shetty PJ (2020) The evolution of DNA extraction methods. Am J Biomed Sci Res. https://doi.org/10.34297/AJBSR.2020.08.001234
Edwards RJ (2018) Phylogenetic tree rooting. In: Encyclopedia of bioinformatics and computational biology. Elsevier Ltd. https://doi.org/10.1016/B978-0-12-809633-8.20258-6
Gebremariam A, Chekol Y, Assefa F (2021) Phenotypic, molecular, and virulence characterization of entomopathogenic fungi, Beauveria bassiana (Balsam) Vuillemin, and Metarhizium anisopliae (Metschn) Sorokin from soil samples of Ethiopia for the development of mycoinsecticide. Heliyon 7:e07091. https://doi.org/10.1016/j.heliyon.2021.e07091
Herlinda S, Efendi RA, Suharjo R, Hasbi H, Setiawan A, Elfita E, Verawaty M (2020) New emerging entomopathogenic fungi isolated from soil in South Sumatra (Indonesia) and their filtrate and conidial insecticidal activity against Spodoptera litura. Biodiversitas 21(11):5102–5113. https://doi.org/10.13057/biodiv/d211115
Herlinda S, Gustianingtyas M, Suwandi S, Suharjo R, Milinia J, Sari P (2021) Endophytic fungi confirmed as entomopathogens of the new invasive pest, the fall armyworm, Spodoptera frugiperda (JE Smith) (Lepidoptera: Noctuidae), infesting maize in South Sumatra, Indonesia. Egypt J Biol Pest Control 31:124. https://doi.org/10.1186/s41938-021-00470-x
Ibrahim R, Alahmadi S, Binnaser YS, Shawer D (2019) Seasonal prevalence and histopathology of Beauveria bassiana infecting larvae of the leopard moth, Zeuzera pyrina L. (Lepidoptera: Cossidae). Egypt J Biol Pest Control 29:65. https://doi.org/10.1186/s41938-019-0161-5
Juliya RF (2019) Genetic diversity of Beauveria bassiana in semi natural and agricultural habitats and its biocontrol potential against cowpea aphid, Aphis craccivora Koch. Braz J Microbiol 50:697–704. https://doi.org/10.1007/s42770-019-00102-5
Khambali K, Setiawan S, Handoyo H, Suyanto B, Koesmantoro H, Poerwati S, Prasetyo A, Karno K, Pinardi T, Santosa BJ, Nugroho HSW, Suparji S, Sunarto S, Aji RARR, Mulyadi M, Prayitno H, Sillehu S, Ibrahim I, Fajriansyah F, Auta TT (2023) The behavior of the use of chemical pesticides by farmers in Indonesia. Behav Use Chem Pestic 12(1):1128–1132. https://doi.org/10.31838/ecb/2023.12.1.091
Kulu IP, Abadi AL, Afandhi A, Nooraidawati N (2015) Morphological and molecular identification of Beauveria bassiana as entomopathogen agent from Central Kalimantan Peatland, Indonesia. Int J ChemTech Res 8(4):2079–2084
Liu Y, Yang Y, Wang B (2022) Entomopathogenic fungi Beauveria bassiana and Metarhizium anisopliae play roles of maize (Zea mays) growth promoter. Sci Rep 12(0123456789):1–10. https://doi.org/10.1038/s41598-022-19899-7
Liu D, Smagghe G, Liu T-X (2023a) Interactions between entomopathogenic fungi and insects and prospects with glycans. J Fungi 9:575. https://doi.org/10.3390/jof9050575
Liu Q, Charleston MA, Richards SA, Holland BR (2023b) Performance of akaike information criterion and bayesian information criterion in selecting partition models and mixture models. Syst Biol 72(1):92–105. https://doi.org/10.1093/sysbio/syac081
Minarni EW, Soesanto L, Suyanto A, Rostaman R (2021) Molecular identification of three entomopathogenic fungi infecting the brown plant hopper pest in Indonesia. Egypt J Biol Pest Control 7:62. https://doi.org/10.1186/s41938-021-00412-7
Minarni EW, Nurtiati N, Istiqomah D (2022) Effects of indigenous entomopathogenic fungi and its application methods to the biology of Spodoptera frugiperda. J Perlindungan Tanam Indones. https://doi.org/10.22146/jpti.70816
Islam SMN, Chowdhury ZH, Mim MF (2023) Biocontrol potential of native isolates of Beauveria bassiana against cotton leafworm Spodoptera litura (Fabricius). Sci Rep 0123456789:1–13. https://doi.org/10.1038/s41598-023-35415-x
Morindya R, Indarti S, Soffan A, Hartono S (2023) Optimization of DNA extraction methods for genomic analysis of rice root-knot nematode (Meloidogyne graminicola) using PCR (polymerase chain reaction) and sanger sequencing. J Plant Prot Res 63(1):50–58. https://doi.org/10.24425/jppr.2022.144416
Muro MADE, Elliott S, Moore D, Parker BL, Skinner M, Reid W, Bouhssini MEL (2005) Molecular characterisation of Beauveria bassiana isolates obtained from overwintering sites of Sunn Pests (Eurygaster and Aelia species). Mycol Res 109(March):294–306. https://doi.org/10.1017/S0953756204001832
Norjmaa U, Nasandulam D, Enkhjargal B, Banzragch D (2019) Morphological and molecular identification of Beauveria bassiana from agricultural soils. Mong J Agric Sci. https://doi.org/10.5564/mjas.v27i02.1280
Ortiz-urquiza A, Keyhani NO (2013) Action on the surface: Entomopathogenic fungi versus the insect cuticle. InSects. https://doi.org/10.3390/insects4030357
Pawestri IN, Sulistyaningsih E (2021) Neurobehavioral performance of Indonesian farmers and its association with pesticide exposure: a cross-sectional study. Clin Epidemiol Glob Health 11:100754. https://doi.org/10.1016/j.cegh.2021.100754
Pramunadipta S, Widiastuti A, Wibowo A, Suga H, Priyatmojo A (2020) Short communication: Sarocladium oryzae associated with sheath rot disease of rice in Indonesia. Biodiversitas 21(3):1243–1249. https://doi.org/10.13057/biodiv/d210352
Quesada-Moraga E, Landa BB, Muñoz-Ledesma J, Jiménez-Diaz RM, Alvarez CS-A (2006) Endophytic colonisation of opium poppy, Papaver somniferum, by an entomopathogenic Beauveria bassiana strain. Mycopathologia. https://doi.org/10.1007/s11046-006-0014-0
Rijal S (2019) Highlights on appropriate management practices against fall army worm (Spodoptera frugiperda) in the context of Nepal. Environ Contam Rev (ECR) 2(2):13–14
Rivai T, Amin J, Pertiwi N (2019) Pesticides usage in vegetable farmers in South Sulawesi pesticides usage in vegetable farmers in South Sulawesi. IOP Conf Ser J Phys Conf Ser. https://doi.org/10.1088/1742-6596/1244/1/012024
Sartiami D, Dadang D, Harahap IS, Kusumah YM, Anwar R (2020) First record of fall armyworm (Spodoptera frugiperda) in Indonesia and its occurence in three provinces first record of fall armyworm (Spodoptera frugiperda) in Indonesia and its occurence in three provinces. IOP Conf Sers: Earth Environ Sci. https://doi.org/10.1088/1755-1315/468/1/012021
Schoch CL, Seifert KA, Huhndorf S, Robert V, Spouge JL, Levesque CA, Chenb W, Consortium, F. B. (2012) Nuclear ribosomal internal transcribed spacer (ITS) region as a universal DNA barcode marker for Fungi. PNAS 109(16):6241–6246. https://doi.org/10.1073/pnas.1117018109
Tamura K, Peterson D, Peterson N, Stecher G, Nei M, Kumar S (2011) MEGA5: molecular evolutionary genetics analysis using maximum likelihood, evolutionary distance, and maximum parsimony methods. Mol Biol Evol 28(10):2731–2739. https://doi.org/10.1093/molbev/msr121
Utami RR, Geerling GW, Salami IRS, Notodarmojo S (2020) Agricultural pesticide use in the upper citarum river basin: basic data for model-based risk management. J Environ Sci Sustain Dev 3(2):235–260. https://doi.org/10.7454/jessd.v3i2.1076
White TJ, Bruns T, Lee S, Taylor J (1990) Amplification and direct sequencing of fungal ribosomal RNA genes for phylogenetics. In: PCR protocols (Issue 1) Academic Press, Inc. https://doi.org/10.1016/b978-0-12-372180-8.50042-1
Zhang Z, Lu Y, Xu W, Sui L, Du Q, Wang Y, Zhao Y, Li Q (2020) Influence of genetic diversity of seventeen Beauveria bassiana isolates from different hosts on virulence by comparative genomics. BMC Genom 21(451):1–12. https://doi.org/10.1186/s12864-020-06791-9
Acknowledgements
All authors would like to thank the Head of LPHP Sukoharjo, Temanggung, and Banyumas to support this research.
Funding
This research was funded by RTA sources with an assignment Final Project Recognition Grant Universitas Gadjah Mada with the Grant Number 5075/UN1.P.II/Dit-Lit/PT.01.01/2023. Chaired by Arman Wijonarko.
Author information
Authors and Affiliations
Contributions
NL and RAY performed collection and assembly of data, and writing. AW and SI performed the research concept, design, and final approval of the article. All authors read and approved the manuscript.
Corresponding author
Ethics declarations
Ethics approval and consent to participate
Not applicable.
Consent for publication
Not applicable.
Competing interests
The authors declare that they have no competing interests.
Additional information
Publisher's Note
Springer Nature remains neutral with regard to jurisdictional claims in published maps and institutional affiliations.
Rights and permissions
Open Access This article is licensed under a Creative Commons Attribution 4.0 International License, which permits use, sharing, adaptation, distribution and reproduction in any medium or format, as long as you give appropriate credit to the original author(s) and the source, provide a link to the Creative Commons licence, and indicate if changes were made. The images or other third party material in this article are included in the article's Creative Commons licence, unless indicated otherwise in a credit line to the material. If material is not included in the article's Creative Commons licence and your intended use is not permitted by statutory regulation or exceeds the permitted use, you will need to obtain permission directly from the copyright holder. To view a copy of this licence, visit http://creativecommons.org/licenses/by/4.0/.
About this article
Cite this article
Lakshita, N., Yulani, R.A., Wijonarko, A. et al. Genomic DNA extraction methods and phylogenetic analysis of Beauveria bassiana from Central Java, Indonesia, and its toxicity against the fall armyworm, Spodoptera frugiperda J.E. Smith (Lepidoptera: Noctuidae). Egypt J Biol Pest Control 34, 59 (2024). https://doi.org/10.1186/s41938-024-00819-y
Received:
Accepted:
Published:
DOI: https://doi.org/10.1186/s41938-024-00819-y




